122ª REUNIÓN DE LA ASOCIACIÓN TERRITORIAL VALENCIANA DE LA SOCIEDAD ESPAÑOLA DE ANATOMIA PATOLÓGICA
Hospital Arnau de Vilanova. Valencia

Reunión, 28 de noviembre de 2025

Salón de Actos y Sala de Reuniones de la 9ª planta. Hospital Arnau de Vilanova

Casos: Patología de Medula ósea


Conferencias invitadas:

     

     

IA, tu nueva compañera de trabajo
Pascual Meseguer. Hospital Lluís Alcanyís de Xàtiva

     
   

Aproximación diagnóstica a la patología de la médula ósea.
Empar Mayordomo Aranda. Jefa de sección. Hematopatología. H. La Fe, València.


Comunicaciones:


   

CT1. Descalcificación y procesado de médula ósea en el hospital General Universitario de Valencia.
Ester Guerrero Albors. HGUV.

     
   

CT2. Decalcificando; de partes óseas a microtomo. Libro Blanco SEAP 2025
Raúl Rajadel Ramada; H. La Fe, València

     
     

CO1. Cajal, Azorín y Pio Baroja en Valencia a finales del s. XIX: La ciudad que conocieron y ya no existe.
Luis Alfaro. Hospitales Vithas Valencia-Castellón.

     
     

CT9. Proyecto preliminar para la estimación de la carga laboral del técnico superior en anatomía patológica y citodiagnóstico.
Candelaria Barberá Sánchez. H. Lluís Alcanyís de Xàtiva. Valencia.

     
     

CO2. Proyecto de digitalización de la Comunidad Valenciana. ¿Avanzamos?.
Esther Roselló Sastre. Grupo de trabajo de la Comunidad Valenciana para la digitalización en Anatomía Patológica.


Listado de Casos:


      Caso 1.- María José Naharro Gascón, Julieta Romina Arbat, Elizabeth Burch Nchama, Amparo Taverner Lino, Encarna Marti Ibor, Maria Luisa Pérez Ebri.
Hospital Doctor Peset de Valencia.
       

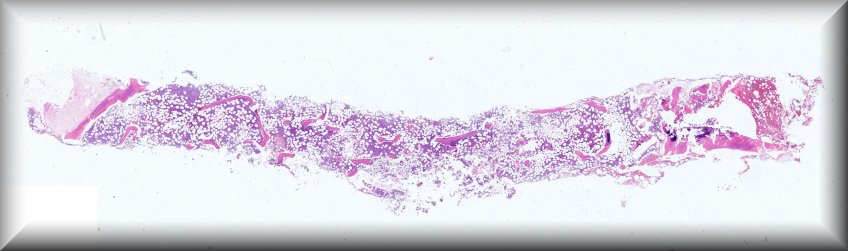
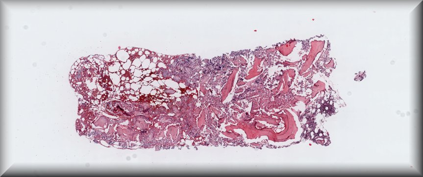
Varón de 44 años que consulta por múltiples adenopatías en regiones inguinal y pélvica, que en el estudio PET-TC muestra captación e hipermetabolismo en esternón y escápula en relación a posible infiltración de médula ósea. Además, presenta en rodilla derecha a nivel cutáneo una lesión nodular indurada y violácea, de 1 cm de tamaño. No presenta afectación del estado general ni síntomas B. En el estudio por sospecha de neoplasia hematológica se realiza biopsia de médula ósea.

   Preparacion digital
 
Visor HTML5
 
Visor NZH

Diagnóstico




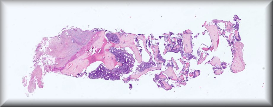
      Caso 2.- Roger Eduardo Casco Zuniga; Evelyn Beatriz Troncoso Hernández; Svetlana Shalygina; Paola Andrea Chilito Paredes; José Luis Losa García.
Hospital General Universitario de Alicante.
       

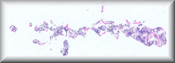
Varón de 79 años, con antecedente de mieloma múltiple en actual tratamiento. Acude a servicio de urgencias por astenia de 4 días de evolución y presencia de pancitopenias persistente a pesar de tratamiento. Se realiza biopsia de médula ósea en el que se observa infiltración difusa por células pequeñas de estirpe linfoide y un 15% aproximado de células plasmáticas con restricción de cadenas ligeras Kappa.

Caso 2    Preparacion digital
 
Visor HTML5
 
Visor NZH

Diagnóstico



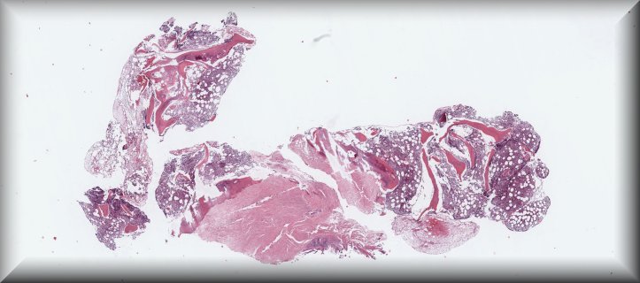
      Caso 3.- Irene Salazar Saura, Josep Marí Alexandre, Sara Alemán Sánchez, Jose Joaquín Llopis Linares, Lara Navarro Cerveró, Esther Roselló Sastre.
Hospital General Universitario de Valencia.
       

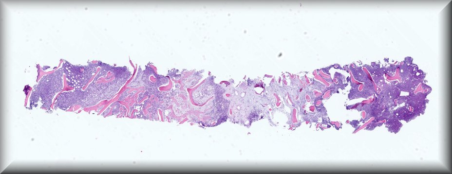
Varón de 16 años con historia de un mes de evolución de astenia y palidez cutánea, que presenta cuadro adenopático inguinal y sospecha de trombosis venosa profunda, con síndrome leucoeritroblástico en sangre periférica.

   Preparacion digital
 
Visor HTML5
 
Visor NZH

Diagnóstico



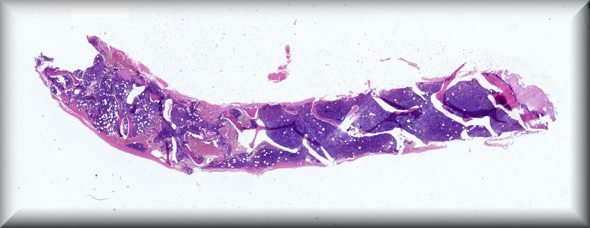
      Caso 4.- Paula Tenhaeff Lackschewitz, Gerónimo Llopis, Raquel Martínez Marcos, Esther Roselló Sastre.
Hospital General Universitario de Valencia.
       

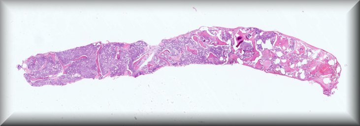
Varón de 28 años, con antecedente de infección por VIH diagnosticada en 2019 y abandonodel tratamiento antirretroviral. Consulta por un mes de evolución de lesiones cutáneas pápulo-nodulares eritematosas y descamativas, tos seca, pérdida ponderal de 10 kg y edemas enextremidades inferiores. En la exploración presenta fiebre de 39 °C, taquicardia y hepatoesplenomegalia. La analítica muestra pancitopenia severa, hipoalbuminemia,hipertransaminasemia y ferritina >90 000 µg/L. Serologías para VHB, VHC, CMV, VEB yBartonella negativas, con beta-D-glucano positivo. Con sospecha de leismaniasis/linfoma serealiza biopsia de médula ósea.

Caso 4    Preparacion digital
 
Visor HTML5
 
Visor NZH

Diagnóstico



      Caso 5.- Francisco Javier Aguilar López; Laura Heredia Oliva; Ludy Marcela Cervera Vergara; Francisco Jesús Quintero Rascón.
Hospital General Universitario de Elche.
       

Pancitopenia a estudio en el contexto desíndrome constitucional de aproximadamente 1 año de evolución, sin fiebre objetivada.Vida y trabajo en medio rural; contacto con tres perros.Viajes previos a Cuba y Bolivia. Linfocitopenia crónica referida.TAC: gran esplenomegalia con lesionesnodulares esplénicas; hepatomegalia; nódulos pulmonares subpleurales.

   Preparacion digital
 
Visor HTML5
 
Visor NZH

Diagnóstico



      Caso 6.- Carmen Rodríguez García, Judith González López, Soraya Hernández Girón, Leticia Gómez de Manuel, Nuria Rausell Fontestad, Empar Mayordomo Aranda.
Hospital Universitario y Politécnico La Fe. Valencia
       

Varón de 86 años, con antedecentes de HTA, cardiopatía isquémica y DM2 en tratamiento con insulina. Diagnosticado de psoriasis hace cuatro años, actualmente en tratamiento con acitretina tópica. Es remitido por su médico de atención primaria a consultas de Hematología por anemia y linfocitosis de meses de evolución, sin clínica constitucional ni otros síntomas asociados. A nivel analítico, destaca anemia (9.9 g/dL), linfocitosis (10,34 x 10^3/µL), trombopenia (40 x 10^3/µL) y elevación de la LDH (414) como hallazgos más relevantes. En el frotis de sangre periférica se observa un 32% de linfocitos de pequeño tamaño. En el TAC toraco-abdomino-pélvico no se evidencian crecimientos adenopáticos patológicos. Se realiza aspirado y biopsia de M.O para descartar patología hematológica subyacente.

   Preparacion digital
 
Visor HTML5
 
Visor NZH

Diagnóstico



      Caso 7.- Yassin El Bouzaydy El Gueddari, María Carolina Martínez Ciarpaglini, Antonio Ferrández Izquierdo.
Hospital Clínico Universitario de Valencia.
       

Mujer de 68 años con astenia progresiva, pérdida de peso de 6 meses de evolución y lesiones cutáneas hiperpigmentadas. No presenta adenopatías a la exploración. No presenta otros síntomas por sistemas y/o aparatos ni focalidad infecciosa. Se decide realización de biopsia de médula ósea.

   Preparacion digital
 
Visor HTML5
 
Visor NZH

Diagnóstico



      Caso 8.- Alba Sánchez Martin, Víctor Carlos Puglia Santos, Pedro César Navarro Conde, Ana Isabel Jiménez Sánchez.
Hospital Arnau de Vilanova. Valencia
       

Varón de 74 años que acude a urgencias por astenia y disnea a esfuerzos moderados de 7 días de evolución, con pérdida de 10 Kg de peso y dolor lumbar, en el último mes. No fiebre, ni síntomas B acompañantes.Hemograma: Hematíes: 2,65 x10^12/L; Hemoglobina: 8,00 g/dL. Leucocitos: 0,94 x10^9/L; Neutrófilos: 8,40 %; Linfocitos: 71,30 %; Monocitos: 16,00 %; Eosinófilos: 0,00 %; Basófilos: 0,00 %. Plaquetas: 22 x10^9/L. Ingresa para estudio de pancitopenia.

   Preparacion digital
 
Visor HTML5
 
Visor NZH

Diagnóstico



      Caso 9.- Francisco Jesús Quintero Rascón, Laura Heredia Oliva, Francisco Javier Aguilar López, Ludy Marcela Cervera Vergara.
Hospital General Universitario de Elche.
       

Se presenta el caso de un paciente masculino de 66 años, con diagnóstico de enfermedad deGaucher tipo 1 desde 1997 y policitemia vera JAK2 positiva desde 2019. Se realizaron cuatrobiopsias de médula ósea en un periodo de cinco años (2019–2024). En todas las muestras seobservó médula ósea hipercelular, con las tres líneas hematopoyéticas conservadas, sinpresencia de blastos y sin fibrosis medular (MF0). Los hallazgos fueron consistentes con policitemia vera en fase crónica.

Caso 9    Preparacion digital
 
Visor HTML5
 
Visor NZH

Diagnóstico



      Caso 10.- Juan Díaz Nohales; Omérim Gaona Juárez; Nuria Rausell Fontestad; Javier Furriol Collado; María Soraya Hernández Girón; Empar Mayordomo Aranda.
Hospital Universitario y Politécnico La Fe. Valencia.
       

Paciente masculino de 82 años acude a urgencias por presencia de escalofríos y fiebre de 2 meses de evolución, con picos de hasta 39ºC. Asocia además astenia y anorexia de hasta 12 kilos durante estos meses con debilidad generalizada y alteración de la marcha, así como caídas frecuentes. En la TAC-tap se observa una esplenomegalia globulosa. Se lleva a cabo biopsia de médula ósea para estudio anatomopatológico.

   Preparacion digital
 
Visor HTML5
 
Visor NZH

Diagnóstico



      Caso 11.- Tania Cambero González, Carolina Martínez Ciarpaglini, Antonio Ferrández Izquierdo.
Hospital Clínico Universitario de Valencia.
       

Mujer de 80 años con clínica de astenia e hiporexia de dos meses de evolución, pérdida de 6 kg de peso y esplenomegalia a la palpación, que presenta reacción leucoeritroblástica en frotis de sangre periférica, así como bicitopenia severa a expensas de anemia y trombopenia. Se solicita biopsia de médula ósea para descartar infiltración.

   Preparacion digital
 
Visor HTML5
 
Visor NZH

Diagnóstico



Sesión de Técnicos


CT3.- Técnicos especialistas y técnicos generalistas: cuando una persona lleva todas las funciones del servicio
Diana Martínez. FOM de Valencia.

     
     

CT4.- Las sesiones de técnicos en el último congreso europeo de Viena: lo que se dijo sobre nosotr@s.
Paula Cabo Cuartero. Hospital Vithas 9 de octubre.

     
     

CT5. Incorporación de nuevos técnicos en el flujo de trabajo de un laboratorio de A.P. El proceso de aprendizaje guiado.
Reyes Cañadas Castro. Hospital Vithas Castellón.

     
     

CT6. Análisis ultraestructural de la médula.
Patricia García Tárraga y Vanja Tepavcevic-Mandic, Universidad de Valencia.

     
     

CT7. Ya no hay soldados desconocidos, hay patólogos en remoto.
Borja Gallardo. Hospital Vithas 9 de Octubre.

     
     





[INICIO]